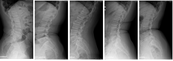
In the medical era, health of a bone is accessed by the bone mineral density (BMD) test. Bone fracture risk in the humans are estimated or evaluated by the BMD test. The test statement recognizes the presence of signs of presence of the frequent occurring disease in the bone called as osteoporosis. So it is obligatory to enclose a customary database in X-Ray images for the young bud researchers to capture up the dealings to the advance stage by accurate examination of the medical results of the images. The projected X-Ray database is termed XSITRAY, characterizes an early attempt to offer a group of X-Ray images of Spine, Femur, Clavicle, Extremity & Ankle, Extremity & Hand and Knee bones. The details such as age, gender and unique Id of the patient are interpreted in the database.



In this database, for every image, Annotation is provided for following attributes: age, gender and unique Id of the patient.
Download procedure:
Step 1. Download, fill, and sign the End User License Agreement. You need to be a representative for your organization (students are not accepted) and use your official email address in the organization in order to request for the Database. After filling the form, please scan it and return the whole document to “tamilselvi@sethu.ac.in”.
Step 2. Upon reception of the signed agreement we will evaluate your profile, and the dataset link will be sent to your account.
Citation:
Please cite the following paper if you make use of the XSITRAY dataset:
Fathima S. M. N, Tamilselvi R, Beham M. P. XSITRAY: A Database for the Detection of Osteoporosis Condition. Biomedical & Pharmacology Journal, March 2019; 12(1). DOI: http://dx.doi.org/10.13005/bpj/1637
The paper can be downloaded from the below link:
XSITRAY: A Database for the Detection of Osteoporosis Condition
For any comments and suggestions, please contact:
naziafathimasm@gmail.com, tamilselvi@sethu.ac.in & parisabeham@sethu.ac.in
