BRAMSIT – A New Dataset for Early diagnosis of BRAIN TUMOUR from MRI Images
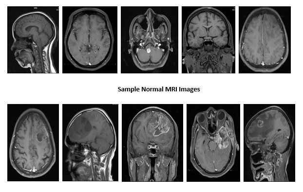
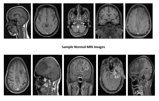
In medical era the successful early diagnosis of brain tumours plays a major role in improving the treatment outcomes and patient survival. Most brain tumours are not diagnosed until after symptoms appear. Often, a brain tumor is initially diagnosed by an internist or a neurologist. Diagnosing a brain tumor usually begins with magnetic resonance imaging (MRI). Once MRI shows that there is a tumor in the brain, the most common way to determine the type of brain tumor is to look at the results from a sample of tissue after a biopsy or surgery. So it is obligatory to enclose a customary database in MRI images for the young bud researchers to capture up the dealings to the advance stage by accurate examination of the medical results of the images. 391 MRI images of different patients are collected and the database is created. The proposed MRI database, named as MRISIT, represents an initial attempt to provide a set of MRI scan images consisting of normal, abnormal along with its ground truth images of different axial (Sagittal, Coronal and Transaxial) position,
Download procedure:
Step 1. Download, fill, and sign the End User License Agreement. You need to be a representative for your organization (students are not accepted) and use your official email address in the organization in order to request for the Database. After filling the form, please scan it and return the whole document to “tamilselvi@sethu.ac.in”.
Step 2. Upon reception of the signed agreement we will evaluate your profile, and the dataset link will be sent to your account.
Citation:
Please cite the following paper if you make use of this database: R. Tamilselvi, A. Nagaraj, M. P. Beham and M. B. Sandhiya, “BRAMSIT: A Database for Brain Tumor Diagnosis and Detection,” 2020 Sixth International Conference on Bio Signals, Images, and Instrumentation (ICBSII), Chennai, India, 2020, pp. 1-5, doi: 10.1109/ICBSII49132.2020.9167530.
The paper can be downloaded from the below link:
10.1109@ICBSII49132.2020.9167530
For any comments and suggestions, please contact:
tamilselvi@sethu.ac.in & parisabeham@sethu.ac.in


